هيرمس
    مصر
  • 29℃ القاهرة, مصر

رئيس مجلس الإدارة

طارق لطفى

رئيس التحرير

أحمد سليمان

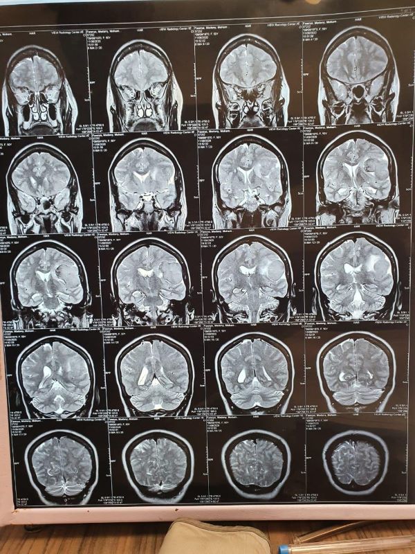
نجاح عملية إستئصال ورم بالمخ فى مستشفى بدر الجامعى التابعة لطب حلوان.. بالصور

أعلن الدكتور ممدوح مهدى، عميد كلية الطب البشرى بجامعة حلوان، أن الفريق الجراحى المتخصص فى إجراء الجراحات النوعية النادرة؛ نجح فى إستئصال ورم بالمخ من مريضة داخل مستشفى بدر الجامعى التابعة لكلية الطب البشرى بجامعة حلوان.. مشيراً أن المريضة كانت تعانى قبل العملية من أعراض "إرتفاع بضغط المخ، صداع مستمر، غثيان".. مضيفاً أن العملية تعتبر من الجراحات الدقيقة والحرجة فى عالم الطب البشرى.


أضاف عميد كلية الطب البشرى بجامعة حلوان، فى تصريحات خاصة لـ"بوابة الجمهورية" أنه تم عمل جميع  الإجراءات التحضيرية للمريضة قبل العلمية مثل: "الأشعات التحضيرية، التحاليل، الأدوية التحضيرية"، وتم حجزها بالعناية المركزة المجهزة على أحدث المواصفات القياسية العالمية بعد خروجها من غرفة عمليات الكبسولة "ألمانية الصنع" والأحدث من نوعها فى الشرق الأوسط.. كاشفاً أن العملية كانت تحت إشراف د.شريف رسلان أستاذ مساعد جراحة الاعصاب و د.عادل شاكر مدرس التخدير والرعاية الحرجة.

فى ذات السياق، أكد الدكتور إيهاب لطفى، مدير عام مستشفى بدر الجامعى التابعة لكلية الطب البشرى بجامعة حلوان، أن العملية إستغرقت (3) ساعات، وحالة المريضة الان بعد الجراحة مستقرة وتعافت بشكل كامل.. كاشفاً أن جميع مراكز المخ للمريضة تعمل بكفاءة وخرجت من العناية المركزة اليوم وإنتقلت إلى القسم الداخلى "سكن المرضى"، وتستعد للخروج من المستشفى خلال الساعات المقبلة.

أوضح مدير عام مستشفى بدر الجامعى التابعة لكلية الطب البشرى بجامعة حلوان، أنه تم بدء التشغيل التجريبى لغرفتان جديدتان للعمليات الكبرى، منذ أسبوعين لحين الإفتتاح الرسمى بعد الإنتهاء من كل ملاحقات الغرف المساعدة لغرف العمليات الـ5 الجديدة والذين يعملوا بنظام الكبسولة، وأحدث ما توصل له العلم فى التجهيزات الطبية لغرف العمليات فى العالم.

ونوه الدكتور إيهاب لطفى، أن الفريق الطبى الذى قام بإجراء العملية الجراحية مكون من: " د. سعيد عيسى مدرس جراحة المخ والأعصاب بطب حلوان،  د. أحمد حامد مدرس مساعد جراحة المخ والأعصاب، د. محمد عباس،  د. حسام أبو سمرة،  د. محمد سليمان،  د. محمد السويسى وجميعهم من قسم جراحة المخ والأعصاب".

 





تابع بوابة الجمهورية اون لاين علي

تابع بوابة الجمهورية اون لاين علي جوجل نيوز جوجل نيوز

يمكنك مشاركة الخبر علي صفحات التواصل

اترك تعليق