هيرمس
    مصر
  • 29℃ القاهرة, مصر

رئيس مجلس الإدارة

طارق لطفى

رئيس التحرير

أحمد سليمان

دجاجة تكلف صاحبها السويسري 7 آلف جنيه لانقاذها.. سقطت من السطوح

مدير الطب البيطرى : العيادة لا تتبع المديرية ولاتزال تحت الترخيص
 

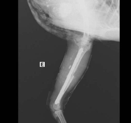
شهدت مدينة مرسى علم واقعة تعد الأولى من نوعها حيث تم إجراء عملية جراحية لإنقاذ  " دجاجة " بعد سقوطها من سطح  أحد المنازل  وإصابتها بكسور فى قدميها وإصرار صاحبها السويسرى الجنسية على علاجها حتى لو تطلب الأمر سفرها لخارج مصروقد إستغرقت الجراحة التى أجراها الطبيبان البيطريان محمد أحمد وإيمان أبوالمجد بإحدى العيادات بمدينة سفاجا  وتم خلالها تركيب شريحتين و6 مسامير بتكلفة 7 آلاف جنيه.
 


 وكان قد إستقبلت عيادة الطبيبين الدجاجة فى  حالة إعياء شديدة وغير قادرة على الحركة وطلب صاحبها السويسرى الذى يعيش فى مصر إجراء الإسعافات اللازمة لها مهما تكلفت من أموال وإذا لم يكن هناك أمل فى علاجها تموت بالقتل الرحيم بعد تخديرها وقد تم إجراء بعض التحاليل الطبية للتأكد من سلامة أعضاءها الحيوية  والتواصل مع أطباء خارج مصر وتم إتباع الخطوات الطبية و تخديرها كلي بالاستنشاق وتظل بالعيادة لمدة يومين للملاحظة


وتضع "ليسكي"، قدميها في الجبس لمدة شهرين وأثناء هذه الفترة تقوم بعمل جلسات علاج طبيعي تتراوح بين شهرين و3 أشهر حتى تستطيع المشي بدون تعرضها لإعاقة حركية بالإضافة لكورس علاج مضاد حيوي ومسكن ومضاد إلتهاب وتجلس على كرسي متحرك لحين فك الجبس، حتى يمكنها التحرك بحرية.


ومن جانبه أكد الدكتور فتحي سلمي مدير مديرية الطب البيطري بمحافظة البحر الأحمر أن الطبيبين اللذين أجريا العملية الجراحية للفرخة   بمدينة سفاجا لايعملان بمديرية الطب البيطرى وأنه تم إجراء العملية بعيادة خاصة مازالت تحت الترخيص و أنهما أجريا العملية بعد رغبة مالك الفرخة في علاجها بعد الاتفاق علي التكلفة بالرغم من أنها ليست حيوان نادر كالصقر أو الحيوانات الأخرى ذات الطبيعة الخاصة لندرتها وهى ما نتعامل معه كعملية إقتصادى )





تابع بوابة الجمهورية اون لاين علي

تابع بوابة الجمهورية اون لاين علي جوجل نيوز جوجل نيوز

يمكنك مشاركة الخبر علي صفحات التواصل

اترك تعليق