هيرمس
    مصر
  • 29℃ القاهرة, مصر

رئيس مجلس الإدارة

طارق لطفى

رئيس التحرير

أحمد سليمان

إنقاذ طفل اخترق بطنه "مسمار دباسة" بمستشفى الأطفال التخصصي ببنها
مستشفى الأطفال التخصصي ببنها
مستشفى الأطفال التخصصي ببنها

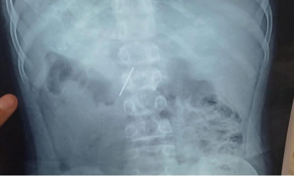
في إنجاز طبي جديد، نجح قسم جراحة الأطفال بمستشفى الأطفال التخصصي ببنها في إنقاذ حياة طفل بعد استخراج مسمار دباسة كراسة اخترق جدار البطن واستقر داخل التجويف البطني، وذلك عبر تدخل جراحي متقدم جمع بين المنظار الجراحي وتقنية جهاز السي أرم لتحديد الموقع بدقة متناهية.


تفاصيل الحالة: جسم غريب يهدد الحياة

وصل الطفل إلى المستشفى وهو يعاني من آلام شديدة أقلقت أسرته، وكشفت الفحوصات الأولية عن وجود جسم معدني حاد داخل البطن. وبناءاً على النتائج، قرر الفريق الطبي التدخل الفوري لاستئصال المسمار بأسرع وأأمن طريقة ممكنة، حفاظاً على حياة الطفل وتفادياً لأي مضاعفات خطيرة.

الخطة الجراحية: تكامل بين الخبرة والتكنولوجيا

قاد العملية الجراحية الدكتور محمد متولي، رئيس قسم جراحة الأطفال، بمشاركة الدكتور وليد محمد، استشاري جراحة الأطفال، والدكتور محمود ممدوح، نائب القسم.

استخدم الفريق المنظار الجراحي لتقليل آثار العملية وتسريع الشفاء، بينما ساعد جهاز السي أرم في تحديد موقع المسمار داخل البطن بدقة مذهلة، ليكون دليلاً حيويًا للجراحين في كل خطوة، ما حوّل العملية إلى مثال حي على تكامل مهارة الإنسان مع ذكاء الآلة.

اللحظة الحاسمة: إنقاذ في التوقيت المناسب

وسط أجواء مشحونة بالتوتر داخل غرفة العمليات، تمكن الفريق الطبي من استخراج المسمار الحاد بنجاح، ما أثار ارتياحًا فورياً لدى الفريق الطبي وذوي الطفل، الذين بدأ الأمل يعود إلى وجوههم بعد لحظات عصيبة.

النتيجة: شفاء تام وسعادة عارمة

بحسب بيان رسمي للمستشفى، شهدت حالة الطفل تحسناً ملحوظاً فور انتهاء العملية، وتمت متابعته بدقة من قِبل الفريق الطبي حتى خروجه من المستشفى سالماً معافى، وسط فرحة كبيرة من أسرته والطاقم المعالج.

الإشراف والدعم الإداري

جرت العملية تحت إشراف الدكتورة مها إبراهيم، رئيس أمانة المراكز الطبية المتخصصة، والدكتور محمود البرنس، مدير المستشفى، اللذين أكدا دعم المستشفى الكامل للطاقم الطبي وتوفير كل الإمكانيات اللازمة لإنقاذ حياة الأطفال.





تابع بوابة الجمهورية اون لاين علي

تابع بوابة الجمهورية اون لاين علي جوجل نيوز جوجل نيوز

يمكنك مشاركة الخبر علي صفحات التواصل

اترك تعليق