هيرمس
    مصر
  • 29℃ القاهرة, مصر

رئيس مجلس الإدارة

طارق لطفى

رئيس التحرير

أحمد سليمان

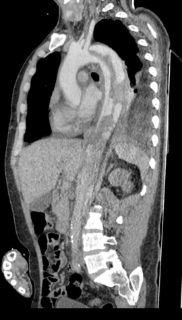
الرعاية الصحية: جراحة مزدوجة ناجحة جنوب الصعيد ضمن التأمين الشامل

أعلنت الهيئة العامة للرعاية الصحية عن نجاح أول تدخل جراحي من نوعه بإقليم جنوب الصعيد، وهو تدخل مزدوج يجمع بين جراحة القلب المفتوح وتركيب دعامات مغطاة بالشريان الأورطي النازل TEVAR وذلك بمستشفى طيبة التخصصي التابعة للهيئة بمدينة إسنا بمحافظة الأقصر.


وأوضح بيان هيئة الرعاية الصحية، التدخل الجراحي تم على مرحلتين لمريض يبلغ من العمر 44 عامًا كان يعاني من انسلاخ بالشريان الأورطي النازل وتقرحات بقوس الشريان الأورطي وتجمع دموي بالشريان الأورطي الصاعد، حيث وصل المريض إلى قسم الطوارئ بالمستشفى في حالة حرجة يعاني من آلام شديدة بالصدر والظهر وارتفاع في ضغط الدم، وعلى الفور تم التعامل معه وإجراء الفحوصات اللازمة، ونقله للعناية المركزة للسيطرة على حالته ومنع تدهورها.

وتابع البيان، بناءً على التقييم الطبي للحالة تقرر إجراء تدخل مزدوج حيث تضمنت المرحلة الأولى إجراء عملية قلب مفتوح لاستبدال الشريان الأورطي الصاعد وإعادة توصيل شرايين الرقبة باستخدام شرايين صناعية، فيما شملت المرحلة الثانية تركيب دعامات مغطاة بالشريان الأورطي وقوسه باستخدام تقنية TEVAR وغلق الشريان تحت الترقوة باستخدام سدادة عبر القسطرة التداخلية تحت توجيه الأشعة التلفزيونية عن طريق المريء وتم تنفيذ التدخلين باستخدام أحدث التقنيات الطبية وبكفاءة عالية أسفرت عن تحسن ملحوظ في حالة المريض الذي غادر المستشفى بعد أسبوع من المتابعة الدقيقة وهو بحالة مستقرة الآن.

ومن جانبه، أكد الدكتور أحمد السبكي رئيس الهيئة العامة للرعاية الصحية والمشرف العام على مشروع التأمين الصحي الشامل، أن التدخل الجراحي التي تم تنفيذه يُعد من أكثر التدخلات الطبية دقة وتعقيدًا، حيث تُقدّر تكلفته في القطاع الخاص بمليون ونصف ، بينما لم يتحمل المريض سوى 450 جنيهًا فقط كنسبة مساهمة مقررة ضمن منظومة التأمين الصحي الشامل، مشيرًا إلى ما تتمتع به الهيئة من كوادر طبية فائقة التميز قادرة على تنفيذ أدق الإجراءات العلاجية والجراحية بأعلى كفاءة واحترافية

وأشار رئيس الهيئة أن محافظة الأقصر شهدت تنفيذ أكثر من 110 ألف عملية جراحية متقدمة وذات مهارة منذ تطبيق منظومة التأمين الصحي الشامل بالمحافظة وحتى الآن، لافتًا أن أكثر من ثلث العمليات التي تم إجراؤها، عمليات دقيقة ومتقدمة تُجرى لأول مرة بإقليم جنوب الصعيد، وذلك يعكس التطور الكبير في مستوى الخدمة الطبية المقدمة لقاطني إقليم الصعيد من خلال منشآت الهيئة تحت مظلة التأمين الصحي الشامل.

هذا، وقد تم إجراء العملية على يد نخبة من الكوادر الطبية بمستشفى طيبة التخصصي التابع للهيئة شملت كل من الدكتور محمد أبو منصور استشاري ورئيس قسم جراحة الأوعية الدموية والدكتور محمد عبد القادر استشاري ورئيس قسم جراحة القلب والصدر والدكتور سعيد عبد العزيز أستاذ جراحة القلب والصدر بطب القصر العيني والدكتور أحمد الجندي والدكتور شادي مجلي استشاريي جراحة الأوعية الدموية والدكتور محمد السيد استشاري أمراض القلب منفذ إيكو المريء والدكتورة سارة منصور والدكتور محمد شوقي مبروك استشاريي التخدير والدكتور محمد خميس والدكتور هيثم جميل استشاريي العناية المركزة، و بمعاونة فريق التمريض المتميز بالمستشفى في تناغم كامل يجسد جاهزية البنية التحتية والكفاءات البشرية المؤهلة داخل منشآت الهيئة للتعامل مع الحالات الدقيقة والمعقدة.





تابع بوابة الجمهورية اون لاين علي

تابع بوابة الجمهورية اون لاين علي جوجل نيوز جوجل نيوز

يمكنك مشاركة الخبر علي صفحات التواصل

اترك تعليق